Опухоли семенных пузырьков — это редкое явление, и их своевременное выявление происходит еще реже. Новообразования разделяют по видам:
- Доброкачественные или злокачественные.
- Эпителиальные или неэпителиальные.
В большинстве случаев опухолевые поражения семенных пузырьков возникают как вторичные, из-за распространения опухоли из соседних органов, таких как прямая кишка или предстательная железа.
Симптоматика
Опухоли семенных пузырьков в начальных стадиях часто не проявляют явных симптомов. Распространенные признаки, связанные с этим состоянием, включают появление крови в сперме и боли в области малого таза. Клиническая картина опухолей семенных пузырьков часто схожа с симптомами рака простаты
Диагноз
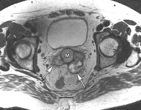
Основным индикатором проблем с семенными пузырьками является их заметное утолщение и увеличение, обнаруживаемое при ректальном осмотре, когда пациент находится в позиции сидя на корточках.
Также применяются следующие лабораторные и инструментальные методы:
- Анализ секретов простаты и семенных пузырей, а также эякулята. Цитологическое изучение взятого во время осмотра секрета может обнаружить клеточные образования, указывающие на онкологические заболевания.
- УЗИ простаты и семенных пузырьков. Является надежным методом для раннего обнаружения опухолей.
- КТ и генитография, трансперинеальная везикулография с пункцией. Оказываются полезными в оценке степени распространения патологического процесса и для дифференцирования его от воспалительных заболеваний, обструктивных состояний и связанных с ними осложнений.
При проведении дифференциальной диагностики необходимо учитывать вероятность наличия туберкулеза, как острого, так и хронического везикулита, а также возможность абсцесса или эмпиемы семенного пузырька. Кроме того, важно исключить связанные с опухолью заболевания.
Лечение
Лечение новообразований семенного пузырька включает применение хирургических методов, аналогичных тем, что используются при операциях на предстательной железе при раке. Эти хирургические процедуры включают простатовезикулоэктомию — удаление предстательной железы, семенных пузырьков, близлежащих тканей и регионарных лимфатических путей
Прогноз
При раке семенных пузырьков прогноз часто оказывается неблагоприятным, поскольку диагностика этого типа злокачественных новообразований обычно происходит на поздних стадиях развития болезни.
Список литературы
- Онкоурология. Национальное руководство. Автор В.И. Чиссова, Б.Я. Алексеева, И.Г. Русакова. Издательство ГЭОТАР - МЕдиа 2012г.
- Диагностика и лечение злокачественных новообразований: клинические протоко- лы / под ред. В. И. Чиссова. – М.: МНИОИ им. П.А. Герцена, 2013.
- Интервенционная радиология в онкологии (пути развития и технологии): научно- практическое издание. − 2-е изд., доп. / под ред. А. М. Гранова, М. И. Давыдова. – СПб.: Фо- лиант, 2013.
- Клиническая онкология: учебное пособие / под ред. П. Г. Брюсова, П. Н. Зубарева. – СПб.: СпецЛит, 2012.
- Онкология: национальное руководство / под ред. В. И. Чиссова, М. И. Давыдова. – М.: ГЭОТАР-Медиа, 2013.
- Опухоли мочевыделительной системы и мужских половых органов: морфологи- ческая диагностика и генетика: руководство для врачей / под ред. Ю. Ю. Андреевой, Г. А. Франка. – М.: Практическая медицина, 2012.
- Рич Джером П., Амико Энтони В. Д. Онкоурология: пер. с англ. – М.: БИНОМ, 2011.
- Алгоритмы диагностики и лечения злокачественных новообразований. – 2-е изд., перераб. и доп. / под ред. В. И. Чиссова. – М.: МНИОИ им. П.А. Герцена, 2010.
- Практическая онкоурология: избранные лекции / под ред. А. В. Воробьева, С. А. Тюляндина, В. М. Моисеенко. – СПб.: Центр ТОММ, 2008.
Внимание! Статья носит информационный характер
Не занимайтесь самолечением, обратитесь к специалисту
Задайте вопрос к врачу здесь на сайте, запишитесь на прием в клинику или проконсультируйтесь онлайн