ежедневно с 8:00 до 20:00
Современная репродуктивная медицина постоянно развивается, появляются все новые методы, создаются инновационные решения и главное — совершенствуется технический инструментарий процедур.
Урология
Что представляет собой женское недержание? Разберем основные причины, способы определения и методики терапии.
Урология
Апостематозный пиелонефрит представляет собой острую инфекционно-воспалительную патологию, при которой в почечной паренхиме формируются многочисленные гнойные узелки.
Урология
Фимоз характеризуется узостью крайней плоти, что затрудняет или делает очень болезненным открытие головки полового члена.
Урология
Ангиолипома почки представляет собой преимущественно доброкачественное опухолевое новообразование.
Урология
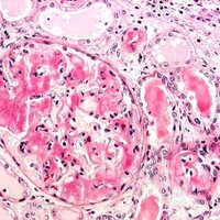
Амилоидоз почек представляет собой патологию, для которой характерно нарушение обмена веществ с отложением в ткани почек нерастворимого белково-полисахаридного вещества — амилоида.
Урология
Гипернефрома представляет собой злокачественное новообразование эпителиального характера в почке.
Урология
Болезнь Берже, известная также как IgA-нефропатия, представляет собой тип гломерулонефрита, имеющего инфекционно-аутоиммунное происхождение.
Урология
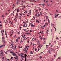
Гломерулонефрит является иммуновоспалительным заболеванием почек, в основном затрагивающим почечные клубочки.
Урология
Расстройства мочеиспускания, известные как дизурические расстройства, не являются жизнеугрожающими, но значительно снижают качество жизни и могут вызвать психологический дискомфорт.
Урология