ежедневно с 8:00 до 20:00
Хроническая болезнь почек (ХБП), или chronic kidney disease, представляет собой совокупность клинических проявлений, которые развиваются в течение не менее трех месяцев и связаны с прогрессирующими заболеваниями почек.
Урология
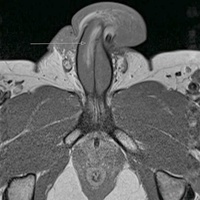
Семинома представляет собой злокачественную опухоль яичка из первичных (зародышевых) половых клеток, присутствующих в организме в период эмбриогенеза.
Урология
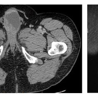
Опухоль яичка представляет собой новообразование, которое затрагивает ткани мужских половых желез.
Урология
Опухоли мошонки представляют собой новообразования, которые могут развиваться из эпителиальных, соединительных или мышечных тканей этого органа.
Урология
Злокачественные образования в половом члене, способны распространяться на соседние участки кожи.
Урология
Рак мочевого пузыря, также известный как карцинома vesica urinae, представляет собой злокачественную опухоль, образованную из эпителиальных клеток.
Урология
Опухоль Вильмса представляет собой высокозлокачественное новообразование, которое воздействует на паренхиму почек.
Урология
Травма полового члена - достаточно редкое повреждение.
Урология
Повреждение уретры представляет собой частичное или полное нарушение ее целостности вследствие механического воздействия.
Урология
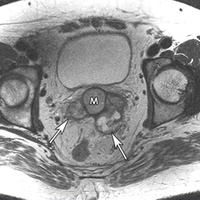
Первичные опухолевые образования для семенных пузырьков не характерны.
Урология